Auteur:

La paupière orientale diffère de la paupière européenne en plusieurs particularités anatomiques.

Indications :

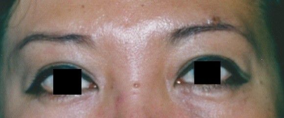
Il existe une structure graisseuse plus importante dans la paupière asiatique mais la différence la plus importante est l’absence de plus palpébral supérieur donnant un aspect lourd à la paupière qui donne un regard voilé.

Différences des insertions musculaires du releveur entre la paupière Européenne (côté Gauche) et la paupière Asiatique (côté Droit), ce qui explique l’absence de pli formé.

rhino
PAUPIERE EUROPEENNE PAUPIERE ASIATIQUE 

L’intervention va consister à définir le pli palpébral selon plusieurs techniques :

  • soit fixation du pli par sutures,
  • soit blépharoplastie avec fixation du pli et correction éventuelle d’une encoche de la portion interne de la paupière (épicanthus).

Cette opération s’adresse à des patients d’origine Asiatique et peut être pratiquée très jeune, donnant ainsi un regard expressif du fait de la diminution de l’excès cutanée ombrant les yeux et une paupière plus facile à maquiller chez les femmes.

Déroulement de l´opération :

L’intervention se pratique chez des sujets présentant une absence du pli palpébral supérieur et peut être réalisée chez des patients jeunes.

Un traitement homéopathique est instantané avant l’intervention (5 jours) pour diminuer l’œdème et le gonflement postopératoire.

Cette intervention se fait par voie de blépharoplastie (paupière supérieure) et va consister en une fixation de la peau au muscle releveur de la paupière.

Elle se réalise sous anesthésie locale ou anesthésie vigile afin de contrôler la bonne position du pli palpébral crée au cours de l’intervention.

Elle dure moins d’une heure et n’est pas douloureuse dans les suites.

Cette intervention présente des modalités différentes selon l’âge et l’aspect des paupières.

Blépharoplastie supérieure et inférieure chez une patiente d’origine Japonaise

1 2
Opération secondaire sur plis palpébraux mal situés.
3 4

Chez des sujets jeunes on ne retire pas ou peu de peau et un excès éventuel de graisse.

Chez les sujets plus mûrs il peut être utile d’enlever de la peau, de retirer de la graisse en excès qui pourrait compromettre l’aspect du résultat.

Enfin parfois existe associée une sorte de bride cutanée à la position interne de la paupière (épicanthus) qui peut être traitée dans le même temps ou dans un temps ultérieur.

Cette intervention est très durable et ne nécessite pas de révision.
Le séjour en clinique est ambulatoire.

Convalescence :

La convalescence est d’environ 8 jours mais l’incapacité de travail n’est pas absolue si l’on porte des lunettes légèrement teintées.

Les sutures sont enlevées sous 8 jours, il existe un œdème qui peut persister pendant 15 jours.

Le résultat est visible dès la disparition dès l’œdème. Les cicatrices placées dans le pli palpébral supérieur ne sont pas visibles les yeux ouverts.

Complications :

Ecchymoses et œdèmes ne sont pas des complications.
La position du pli palpébral nécessitera rarement une retouche dans cette technique.

Une asymétrie des plis peut exister plus souvent chez les sujets âgés cela peut être évité par une mesure précise préopératoire bien que souvent la forme des deux paupières n’est pas absolument identique, le patient en sera prévenu dès la première consultation en montrant la différence entre les deux paupières.

Enfin, une difficulté à fermer totalement les yeux en postopératoire peut provoquer une irritation cornéenne.

Contre-indication :

Il n’existe pas de contre-indication à cette intervention en dehors d’une demande inadaptée.

Sommaire et conclusion :

Intervention esthétique, elle est réalisée selon les souhaits des patients.
Cette intervention peut être qualifiée de dynamique car elle crée un pli uniquement quand les yeux sont ouverts.

Les paupières yeux fermés, sont identiques à la paupière initiale. Le regard est plus expressif et mieux perceptible.

La forme de la paupière est peu modifiée mais certains patients mettent plusieurs semaines à s’habituer à leur nouveau regard.

mise à jour: 12.01.2017

Auteur

Spécialiste en Chirurgie Plastique, Reconstructrice et Esthétique avec une expérience de plus de 30 ans ayant son cabinet à Paris et proposant un large choix des procédures, le Dr de Taddéo croit que la chirurgie esthétique allie l’art à la science car elle apporte un mieux être aux patients opérés.

Blépharoplastie - Nouveautés

D'autres recommandations similaires

Spécialistes près de chez vous   
Photos de patients
Interventions envisagées par les autres